Darwin Ezequiel Zhune Villagrán1, Paola Priscila Mendieta Chispe2, Jazmin Maria Rizzo Vinueza3, Isabel María Freire Barrezueta2, Boris Rubén Barreno Martínez2

1Departamento de Cirugía Cardiovascular, 2Departamento de Cardiología, 3Departamento de Terapia Intensiva Cardiovascular. Hospital de Niños Roberto Gilbert Elizalde, Guayaquil, Ecuador


Resumen

La ventana aortopulmonar es una rara anomalía cardíaca, que representa el 0,5% del total de las malformaciones cardíacas congénitas, su asociación con anomalías del origen de la coronaria derecha desde el tronco pulmonar es poco frecuente y de difícil diagnóstico.

Se reporta el caso de un paciente de cuatro meses con diagnóstico tardío de ventana aortopulmonar, derivado a nuestro hospital con datos de insuficiencia cardíaca y mal nutrición, el cual es intervenido quirúrgicamente con máquina de circulación extracorpórea, hipotermia moderada, paro cardíaco inducido con cardioplegía con clampeo aórtico y clampeo temporal de las ramas pulmonares, encontrándose como hallazgo quirúrgico una anomalía del origen de la coronaria derecha desde el tronco pulmonar la cual fue reinsertada en la aorta, con evolución final satisfactoria.

Palabras claves: ventana aortopulmonar, anomalía del origen de la coronaria derecha desde el tronco pulmonar, ARCAPA

Aortopulmonary window with anomalous origin of the right coronary artery from the pulmonary artery as a surgical finding. Case report

Summary

The aortopulmonary window is a rare congenital cardiac anomaly, representing 0.5% of all congenital cardiac heart diseases, and its association with anomalous origin of the right coronary artery from the main pulmonary artery is rare and difficult to diagnose.

This is a case report of a 4-month-old patient with late diagnosis of aortopulmonary window, referred to our hospital with data of heart failure and poor nutrition, who underwent surgery with extracorporeal circulation, moderate hypothermia, cardiac arrest induced with cardioplegia with aortic clamping and temporary clamping of the pulmonary branches, with a surgical finding of an anomalous origin of the right coronary artery from the main pulmonary artery, which was reinserted in the aorta, with satisfactory final evolution.

Key words: aortopulmonary window, anomalous origin of the right coronary artery from the pulmonary trunk, ARCAPA

Introducción

La comunicación entre la aorta ascendente y el tronco pulmonar o ramas, respetando ambas válvulas semilunares es lo que se conoce como ventana aortopulmonar1,2.

La ventana aortopulmonar es una rara malformación congénita, constituye el 0,5% del total de las cardiopatías congénitas3,4, resulta del incompleto desarrollo del septum cono troncal.

Se han propuesto varias clasificaciones para este defecto sin embargo la que nosotros utilizaremos es la propuesta por Ritchardson que las clasifica en tipo 1 cuando presenta un defecto pequeño entre la aorta ascendente y el tronco de la pulmonar por encima de los senos de valsalva, tipo 2, cuando la ventana está localizada sobre la pared posterior de la aorta ascendente en el origen de la arteria pulmonar derecha y tipo 3 cuando la arteria pulmonar derecha surge del lado derecho de la aorta ascendente y hay ausencia completa del septum aortopulmonar pero las válvulas semilunares se mantienen separadas por sus anillos5.

Sin un tratamiento adecuado y reparación quirúrgica la ventana aortopulmonar produce falla cardíaca congestiva y rápidamente puede desarrollar hipertensión pulmonar severa y posteriormente enfermedad vascular pulmonar irreversible3.

Aproximadamente el 50% de las ventanas aortopulmonares están asociadas a otras anomalías cardiovasculares3. Otros estudios indican que al menos entre el 25-35 % 1,6.

El origen anómalo de las arterias coronarias constituye una patología muy infrecuente, la incidencia del origen anómalo de la arteria coronaria derecha desde el tronco de la pulmonar (ARCAPA) es de aproximadamente 0,002% de la población general7-9, un tercio de estos pacientes se asocia a otros defectos cardíacos9,10, como en el caso de nuestro paciente.

Esta patología puede presentar isquemia subclínica del miocardio o riesgo de muerte súbita por lo que debe ser corregida quirúrgicamente una vez establecido el diagnóstico aún en pacientes asintomáticos8,9.

El presente trabajo tiene como propósito presentar nuestra experiencia con un caso de asociación de dos patologías cardíacas raras, una de las cuales fue diagnosticado en quirófano y que requirieron reparación quirúrgica en un solo tiempo.

Caso clínico

Se reporta el caso de un paciente de cuatro meses, sexo masculino, de 4.28 Kg, talla 60 cm, transferido desde un hospital General de otra provincia al nuestro, con el diagnóstico de ventana aortopulmonar, siendo manejado inicialmente en el hospital general con furosemida, espironolactona y enalapril , durante 3 días antes del traslado.

Durante el ingreso la madre del niño refiere desmejoría evidente 7 días antes del traslado con inapetencia, sudoración profusa y tiraje intercostal (datos de insuficiencia cardíaca), al examen físico se observa un niño pálido irritable con mal estado nutricional según las tablas de la Organización Mundial de la Salud [peso P<1 (-4.20 Z), talla P 3 (-1.88 Z), peso/talla P<1 (-4.68)].

Presenta retracciones intercostales bajas, buena entrada de aire bilateral saturando 99 %, Ruidos cardíacos ritmicos, R1 y R2 normales, frecuencia cardíaca 150 por minuto, con soplo sistólico III/VI, hepatomegalia de más de 2cm por debajo del reborde costal y pulsos periféricos amplios.

Se solicitan exámenes de laboratorio y cultivos los que son normales, además se realiza ecocardiograma, electrocardiograma y radiografía de tórax para confirmar el diagnóstico.

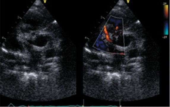
El electrocardiograma demostró ritmo sinusal, frecuencia cardíaca de 150 por minuto, eje a +60, Qtc 0,42 seg. Pr de 0,125 seg. con signos de sobrecarga izquierda (figura 1), la radiografía de tórax mostro discreta cardiomegalia con signos evidentes de hiperflujo pulmonar (figura 2), y el ecocardiograma confirma el diagnóstico de ventana aortopulmonar, la cual mide aproximadamente 5 mm a 11 milímetros del plano valvular aórtico, cavidades izquierdas dilatadas, función sistólica conservada, velo anterior mitral prolapsante con insuficiencia leve a moderada, arco aórtico izquierdo, se descarta ductus y coartación aortica, hipertensión pulmonar severa (figura 3).

Se realizan exámenes pre-operatorios, a los seis días del ingreso y pasa a quirófano a los 7 días para corrección de ventana aortopulmonar con máquina de circulación extracorpórea, hipotermia moderada y paro cardíaco inducido por cardioplegía con clampeo aórtico y oclusión transitoria de las ramas pulmonares, durante el acto quirúrgico se abre la arteria pulmonar y se visualiza ostium coronario derecho llegando al tronco pulmonar, se abre la aorta ascendente se observa ostium izquierdo en posición habitual, se desinserta el ostium coronario derecho y se lo posiciona en el seno coronario derecho, se cierra la aorta y ventana aortopulmonar con un flap de la arteria pulmonar, para finalmente reconstruir el tronco pulmonar con homoinjerto de pericardio autólogo, se crea una comunicación interventricular de 4 mm por antecedente de hipertensión pulmonar severa. Tiempo de circulación extracorpórea: 112 minutos y clampeo aórtico de 93 minutos.

Evolucionó con sangrado durante las primeras horas postoperatorio que requirió múltiples transfusiones y con disfunción del drenaje mediastínico por lo que requirió aseo quirúrgico, cambio de drenaje , se colocó drenaje pleural y catéter de tenckhoff, dejándose el tórax abierto para posteriormente ser cerrado a los 3 días de la cirugía.

Desde el punto de vista hemodinámico fue apoyado con milrinona y epinefrina, la parte infecciosa se cubrió con ceftazidima y vancomicina en el contexto de ser un paciente con tórax abierto y multi invadido, después del cierre esternal se agregó metronidazol por deposiciones abundantes y liquidas, a los 6 días del cierre esternal presenta fiebre por lo que se rota piperacilina/tazobactan completando 14 días se mantiene la vancomicina hasta completar los 14 días y se suspende los otros antibióticos, se tomaron cultivos de control que salieron negativos.

En lo digestivo se mantuvo en ayuno por débito achocolatado en poca cantidad por 6 días posteriores al cierre esternal; se inició estimulación trófica con leche materna por sonda orogástrica con aumento progresivo del volumen de ingesta.

Durante todo este tiempo se apoyó con nutrición parenteral la cual se suspendió a los 15 días del cierre esternal.

Al noveno día del cierre de tórax, ya en destete ventilatorio, se detecta inestabilidad esternal por lo que se refija el esternón un día más tarde y dos días después se extuba al paciente.

En la parte renal mantuvo buena diuresis apoyado con furosemida en infusión por 3 días después de la cirugía correctiva y posteriormente en bolos según balance hídrico, se retiró el catéter de tenckhoff al tercer día del cierre esternal.

Finalmente es dado de alta a los 26 días del ingreso con ecocardiograma donde se observa coronaria derecha normoimplantada (figura 4). Se indica control por consulta externa medicado con captopril, espironolactona y furosemida.

    Figura 1. Electrocardiograma prequirurgico.

    Figura 2. Radiografia AP de torax prequirugica.

    Figura 3. Ecocardiograma prequirugico. Eje corto de grandes vasos. Se observa la imagen de la ventana aortopulmonar de 5 mm.

    Figura 4. Ecocardiograma postquirúrgico. Eje corto de grandes vasos. Se observa la coronaria derecha normo implantada y llenado en diástole.

    Discusión

    Tanto la ventana aortopulmonar como el origen anómalo de la coronaria derecha son entidades poco frecuentes, la asociación de la ventana aortopulmonar con otras malformaciones cardíacas se ha establecido en un 25-35% de los casos6 y la mortalidad operatoria descrita varia de 7,9 al 9 %3. Sin embargo, en una serie de 20 pacientes reportada por Moallim et al., el 90 % de los casos se asociaron a otras malformaciones cardíacas y de estas el 10 % correspondieron a anomalías coronarias1, en otra serie de 38 pacientes descrita por Hew et al. se encontró asociación a defectos cardíacos severos en un 68 %11.

    La enfermedad vascular pulmonar irreversible precoz es la principal causa de la necesidad de corregir el defecto tempranamente, en el caso de nuestro paciente se trata de un diagnóstico tardío, hecho a los cuatro meses de edad por datos de franca insuficiencia cardíaca en un hospital general.

    En el electrocardiograma y ecocardiograma pre operatorios no se evidenció alteraciones sugestivas de origen anómalo de la coronaria derecha, posiblemente porque esta patología suele ser silente al contrario del origen anómalo de la coronaria izquierda donde se observa en forma precoz fallo cardíaco, miocardiopatía dilatada e insuficiencia mitral7,9.

    No existen hallazgos electrocardiográficos característicos del origen anómalo de la coronaria derecha desde el tronco pulmonar, aunque se puede encontrar hipertrofia ventricular izquierda con ondas Q profundas2,7,12.

    Radke et al. encontraron en su estudio al 41 % de los pacientes con esta patología asintomáticos y el 40 % presentaron datos de isquemia8.

    Los pacientes que presentan síntomas de isquemia miocárdica o incluso muerte súbita se debe al robo coronario que se produce desde la coronaria izquierda hacia la derecha, sin embargo esta situación suele no darse en determinadas condiciones como, estenosis del origen de la coronaria derecha, dominancia izquierda y en la presencia de cortocircuito de izquierda a derecha por elevación de la presión pulmonar lo cual supondría menos robo diastólico9, como es el caso de nuestro paciente, esto último justificaría la ausencia de alteraciones en el electrocardiograma y la ausencia de imagen de robo diastólico por doppler en el ecocardiograma.

    La asociación de ambas patologías es muy rara. Se han publicado escasos trabajos sobre el tema13,14.

    Bibliografía

    1. Moallim M, Hamadah H, Alhabshan F, Alghamdi A, Kabbani M. Aortopulmonary window: Types, associated cardiovascular anomalies, an surgical outcome. Retrospective analysis of a single center experien. J Saudi Heart Assoc 2020; 32:127-133
    2. Talwar S, Agarwal P, Choudhary SK, Kothari S, Juneja R, Saxena A, et al. Aortopulmonary window morphology, diagnosis, and longterm results. J Card Surg 2017; 32:138-144
    3. Meléndez G, Curi P, Calderón J. Anomalías congénitas de las arterias coronarias en: Attie F, Calderón J, Zabal C, Buendía A, editores. Cardiología pediátrica. México: Editorial Médica Panamericana 2013, pp. 355-358
    4. Moruno A, Santos J, Grueso J, Gavilán J, Álvarez A, Gil M, et al. Ventana aortopulmonar: Valoración clínica y resultados quirúrgicos. Rev Esp Cardiol 2002; 55:266-270
    5. Richardson JV, Doty JB, Rossi NP, Ehrenhalft JL. The spectrum of anomalies of aortopulmonary septation. J Thorac Cardiovasc Surg 1979; 78:21-27
    6. Alvarez R, Garcia L, Coserria F, Hosseinpour R. Aortopulmonary window with atrial septal defect: prenatal diagnosis, management and outcome. Fetal Diagn Ther 2011; 30:306-308
    7. Franco A, Cadenasso B, Antúnez S, Anzibar R. Origen anómalo de la arteria coronaria derecha desde el tronco de la arteria pulmonar (ARCAPA). Arch Pediatr Urug 2018; 89: 108-112
    8. Kin KS, Jo EY, Yu JH, Kil HR. Anomalous right coronary artery from pulmonary artery discovered incidentally in an asymptomatic young infant. Korean J Pediatr 2016; 59:80-83
    9. Saaveadra M, Mozzi J, Nápoli N, Villa A, Barretta J, Marantz P. Origen anómalo de la arteria coronaria derecha de la arteria pulmonar en un lactante con soplo cardíaco. A propósito de un caso. Arch Argent Pediatr 2018; 116:789-792
    10. Gilmour J, Kafka H, Ropchan G, Johri AM. Anomalous right coronary artery: a multimodality hunt for the origin. Case Rep Cardiol 2011; 286598
    11. Hew CC, Bacha EA, Zurakowski D, del Nido PJ Jr, Jonas RA. Optimal surgical approach for repair of aortopulmonary window. Cardiol Young 2001; 11:385-390
    12. Lin s, Wu s, Lin H, Chen M, anomalous origin of the right coronary artery from the pulmonary artery in an infant. Pediatr Neonatol 2016; 57: 446-448
    13. Gabbieri D, Guadalupi M, Stefanelli G. Aortopulmonary window and anomalous origin of the right coronary artery from the pulmonary artery: long term result after Takeuchi-type repair. Heart Lung Circ 2008; 17:339-342
    14. Asano M, Ukai T, Nomura N, Mishima A. Anatomical Repair of aortopulmonary window with anomalous origin of the right coronary artery from pulmonary artery. J Card Surg 2013; 28:767-769